It’s time. It’s actually three weeks past time because of various reasons but I’m not rewriting the post so here goes. I can finally start posting about the funny stuff that I’ve been saving up for the past three months.
Matt and I have decided to spawn a child.
We’ve also nicknamed the baby Little Cub, I have a few select nicknames for it depending on how they’re treating my body on any particular day and one that was born from the most amazing picture to ever exist of this child and you will understand at the end.
Little Cub has hit 12 weeks. To say that I’m getting really excited is a bit of an understatement. However it would also be really nice if the morning sickness could stop now. I keep getting told that once I’m out of the first trimester then everything starts to ease up and I’ll start feeling better.
I’m calling bull. Also add in that my mum was nauseous for six months with me kind of leads me to believe that I’m going to be judging how good my day is by whether or not I’ve thrown up for the next few months as well.
Don’t get me wrong, it’s not as bad as it could be. I pray I don’t get hyperemesis with any of my pregnancies because honestly that just looks shit. Most of mine is just first thing in the morning where I want to puke, often happens in the closest sink because we all know how hard tiles are on the knees.
Ugh just writing about this is making me nauseous.
One of the things that makes me excited about Little Cub hitting the 12 week mark is that I’m finally allowed to post about them. Matt and I made a deal that there were certain people we wanted to tell ourselves before they found out through the grape vine. While there is a chance that some members of his family will come across this eventually, I didn’t want to run the risk of anyone finding out before they were meant to.
Let me tell you that there is some quality rants coming your way. There have been so many things that I haven’t been able to post about for the past three months because they all centered around something to do with pregnancy or might lead some to figuring out that I’m pregnant.
Now you get it all.
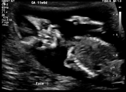
Probably one of the best things to come out of hitting the end of the first trimester though is what came from the trans nuchal scan.
I present to you, for your viewing pleasure, the greatest image that will ever exist of this little one.
Predator baby flipping us off!

Oh my god I cannot wait to show this to everyone ever. It’s going to be framed and hung on the picture wall. I want it to be the official image for the baby shower invitations. It will be there at every birthday party. Oh my god I could make it a scavenger hunt deal. Whoever finds the predator baby photo wins a door prize!
Parenting is going to be great.
Also if you laughed hysterically at the predator baby, don’t feel bad. I still laugh at it even now. It is amazing and whoever can’t appreciate it has come to the wrong place.